802 Timber Dr, Garner, NC 27529
Reveal Your Best Smile with Aspect Veneers
No Drilling
How Aspect Veneers Differ From Traditional Veneers
While traditional porcelain veneers can create stunning results, they require removing a layer of your natural enamel, which is an irreversible process. Aspect Veneers take a different approach. This method keeps your teeth fully intact, making it a more conservative and holistic choice for cosmetic enhancement.
Patients appreciate that Aspect Veneers are comfortable to receive, requiring no anesthesia or temporary restorations. They are also completely reversible, meaning your natural teeth remain untouched beneath the composite material. For many, it’s the perfect balance between beauty and preservation.

Problems

Solutions


Get My Smile Plan
Aspect Veneers in Garner, NC
Meet Dr. David Hall
DDS
Dr. David Hall grew up surrounded by an appreciation for both function and beauty, thanks to his father, an architectural illustrator. This early exposure shaped his understanding of design in nature and structures, inspiring a similar approach in his dental career.
After graduating from dental school, Dr. Hall’s first passion was cosmetic dentistry. He pursued advanced training in New York, learning from some of the nation’s leading experts in smile design. As his practice evolved, he recognized the critical role of function—specifically the mechanics and hinge from which the mouth moves—in achieving lasting results.
Today, Dr. Hall is dedicated to blending the principles of beauty and function in every treatment. Rather than focusing solely on quick aesthetic fixes like crowns and veneers, he takes a detailed, long-term approach—carefully evaluating each patient’s function and occlusion before transforming their smile.

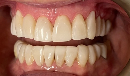
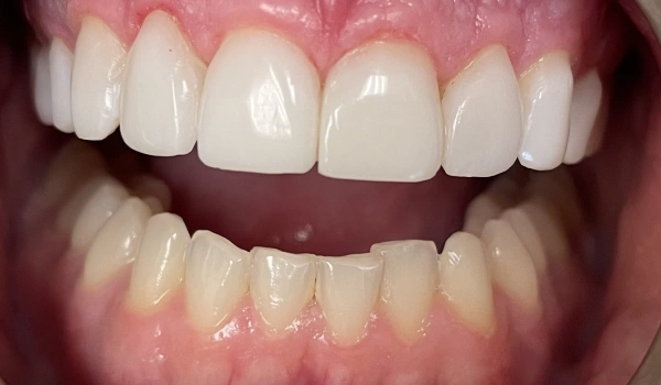
What Are Aspect Veneers?
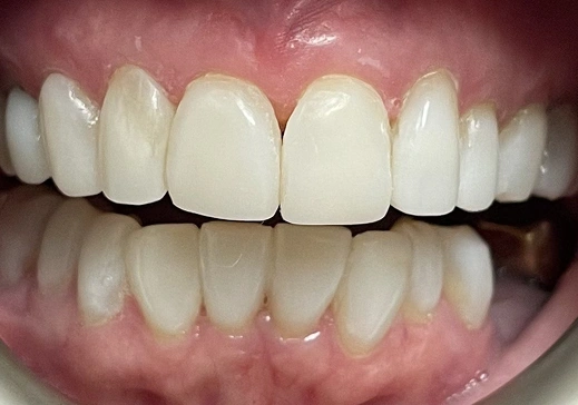
Key benefits include:
- No drilling or removal of healthy enamel
- A fully reversible procedure
- Long-lasting, repairable results
- Restores natural proportions and symmetry to your smile



Who is a Good Candidate for Aspect Veneers?
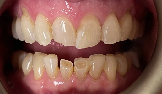
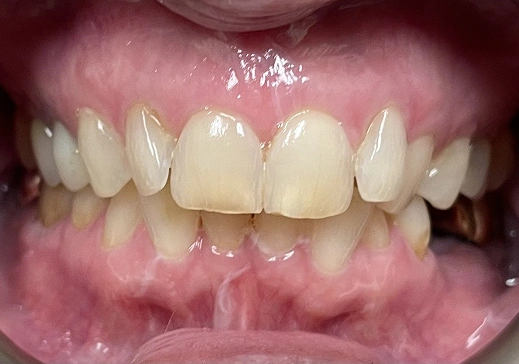
- Worn or flattened teeth from grinding
- Uneven edges or chipped enamel
- Mild to moderate discoloration
- Patients advised to get veneers or crowns but want a non-invasive option
Why Choose Us for Aspect Veneers?
Your smile deserves the highest level of care and artistry. Our team combines advanced cosmetic training with an eye for detail to deliver results that look and feel natural. Every Aspect Veneer treatment is personalized to match your unique facial features, skin tone, and personal goals.
We prioritize comfort and communication at every stage — from your first consultation to the moment you see your new smile. With our expertise in this non-invasive technique, you can trust that your smile will be restored beautifully and safely.


































