Aspect Veneers in Garner, NC
What Are Aspect Veneers?
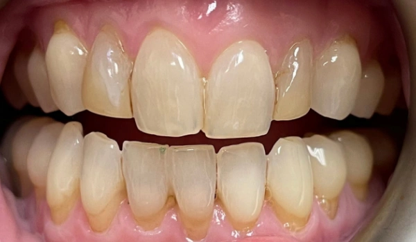
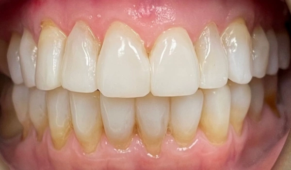
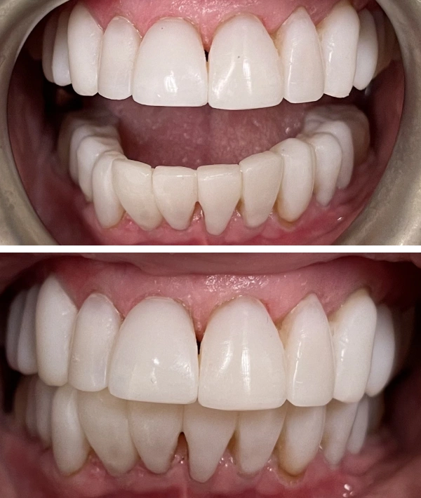
Aspect Veneers are a revolutionary cosmetic solution designed for patients seeking a brighter, more youthful smile while preserving their natural tooth structure. This treatment involves applying ultra-thin layers of high-quality composite material directly to your teeth, building up their shape, length, and color in a completely reversible way.
With Aspect Veneers, you can enjoy cosmetic results comparable to traditional veneers, but without the irreversible process of shaving down healthy teeth.
Key benefits include:
- No drilling or removal of healthy enamel
- A fully reversible procedure
- Long-lasting, repairable results
- Restores natural proportions and symmetry to your smile
Who is a Good Candidate for Aspect Veneers?
- Worn or flattened teeth from grinding
- Uneven edges or chipped enamel
- Mild to moderate discoloration
- Patients advised to get veneers or crowns but want a non-invasive option
How Aspect Veneers Differ From Traditional Veneers
While traditional porcelain veneers can create stunning results, they require removing a layer of your natural enamel, which is an irreversible process. Aspect Veneers take a different approach. This method keeps your teeth fully intact, making it a more conservative and holistic choice for cosmetic enhancement.
Patients appreciate that Aspect Veneers are comfortable to receive, requiring no anesthesia or temporary restorations. They are also completely reversible, meaning your natural teeth remain untouched beneath the composite material. For many, it’s the perfect balance between beauty and preservation.
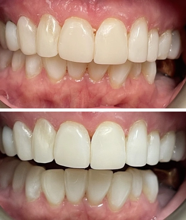
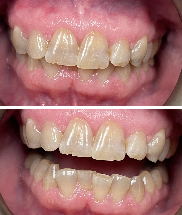
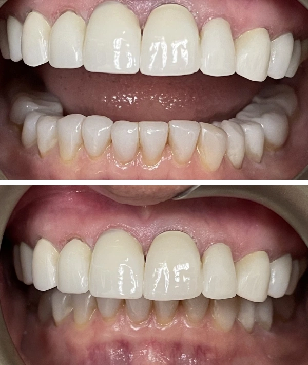
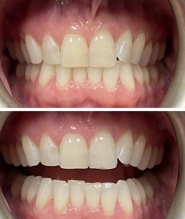
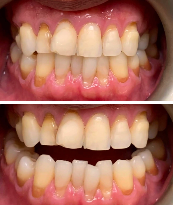
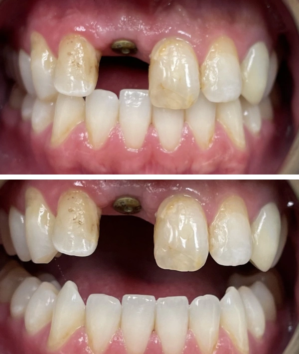
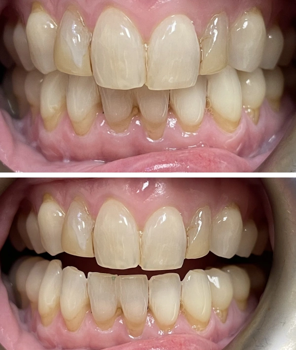
Smile Confidence Reimagined – Before & After

Problems
- Crowding
- Worn
- Teeth Sharp Edges
- Fractured Molars leading to implants

Solutions
- Study
- Create
- Balance
- Beautify
- Apply
Why Choose Us for Aspect Veneers?
Your smile deserves the highest level of care and artistry. Our team combines advanced cosmetic training with an eye for detail to deliver results that look and feel natural. Every Aspect Veneer treatment is personalized to match your unique facial features, skin tone, and personal goals.
We prioritize comfort and communication at every stage — from your first consultation to the moment you see your new smile. With our expertise in this non-invasive technique, you can trust that your smile will be restored beautifully and safely.
Ready to See Your New Smile?
Real Stories, Radiant Smiles


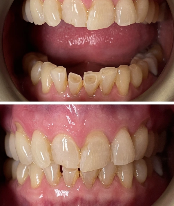
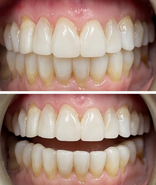
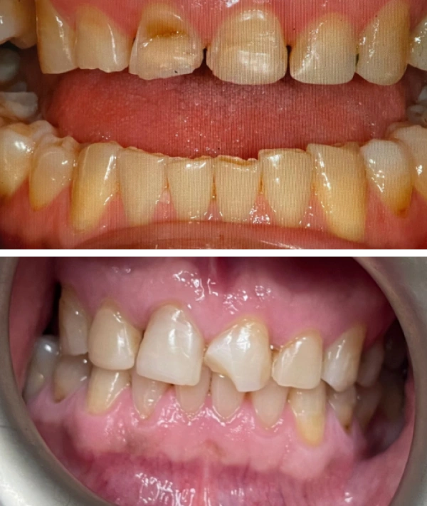
Transformative Resin Form applied over his existing teeth. We did not cut down anything. We applied resin over his teeth.These teeth were Worn and Not beautiful. Now they are Balanced and Beautiful!


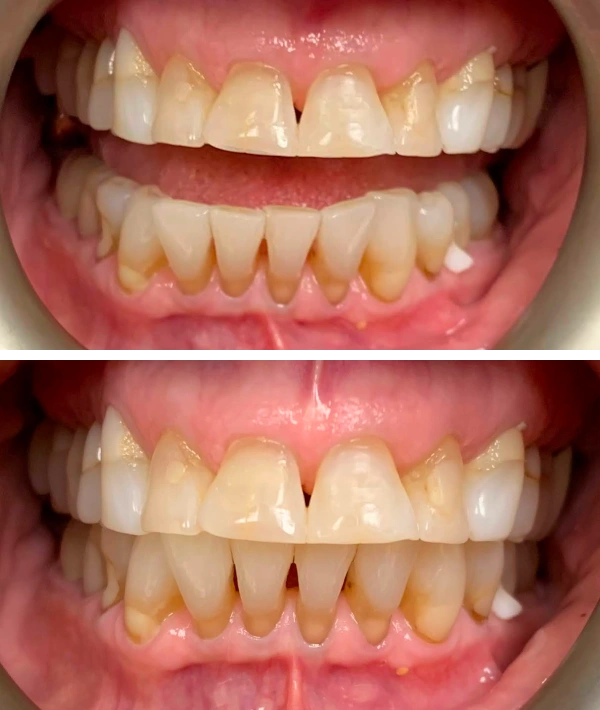
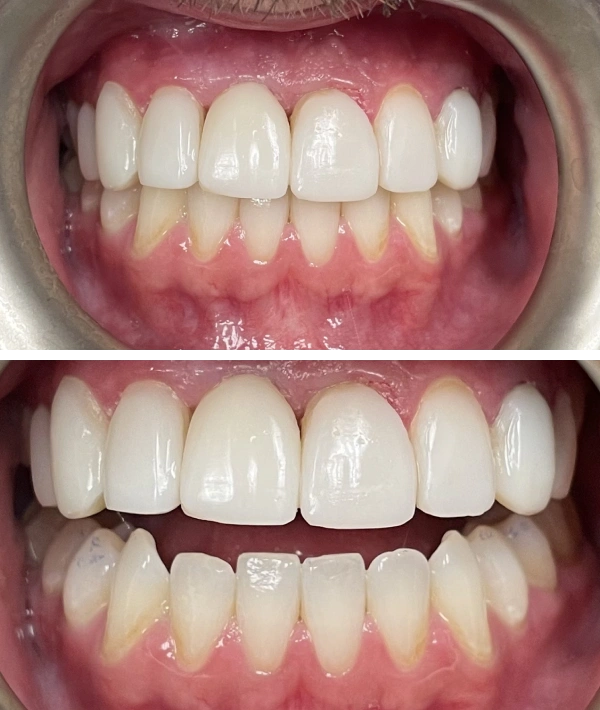
On Mr. Bridgestone, first we patched the broken , worn teeth. This lasted for several years. Then we used TR-Forms to balance and beautify, and it was all done over existing


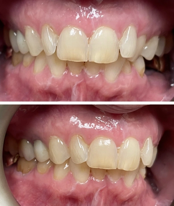
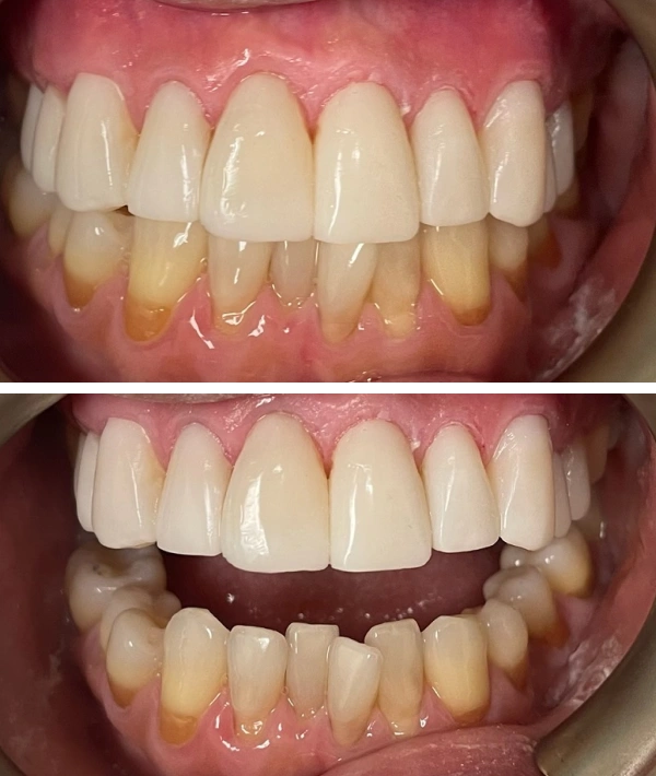
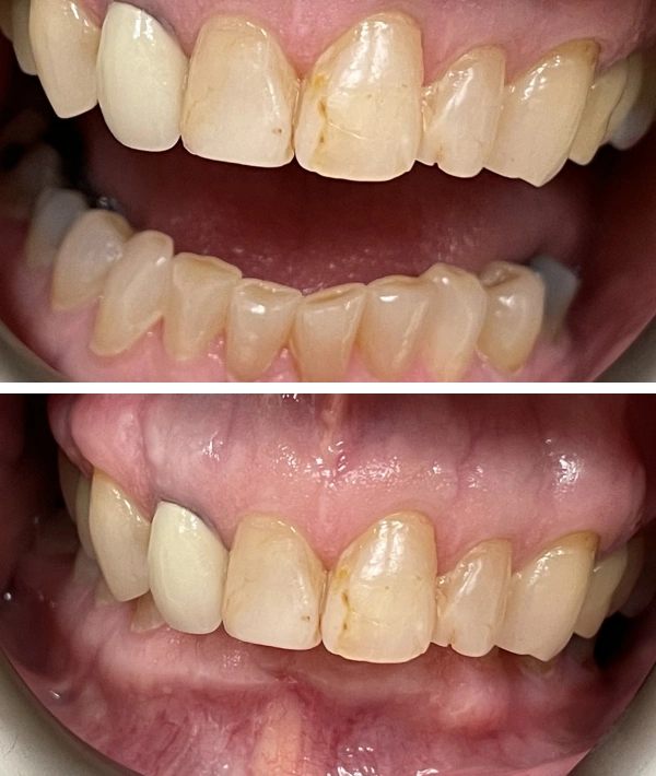
Mrs. Goodyear was getting married in 14 days. She heard about T R – Forms and asked if we could help . With TR – Forms we were able to improve her function……..but you know what really matters for Mrs Goodyear ? We created a beautiful smile for that special day!




























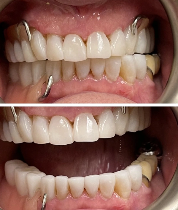
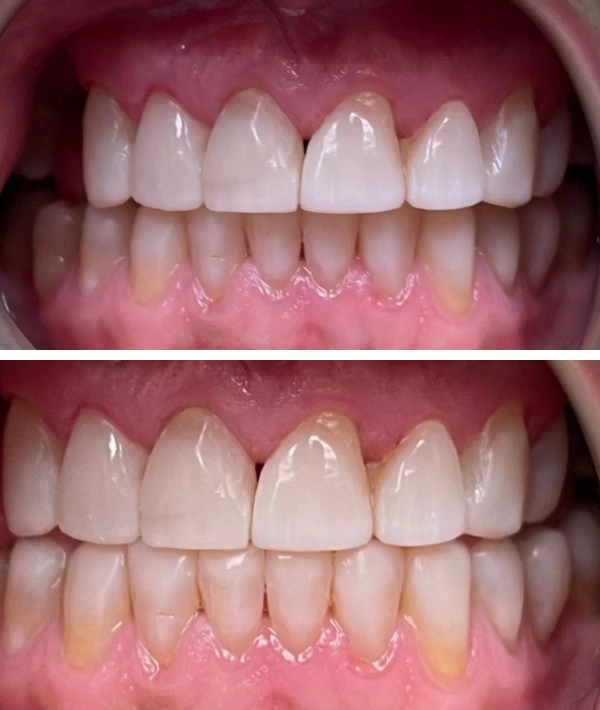
The molars of Mrs. Michelin were worn flat because her balance and form were off. Instead of crowning teeth, we just added in order to resurface
